Plüsch benötigt unsere Hilfe
Wenn Liebe Tierarztrechnungen bezahlen könnte wäre dieser Kater heute noch zu Hause.
Ein Kater ist bei uns eingezogen. Hübsch. Kastriert. Mit Stammbaum.
Und trotzdem sitzt er jetzt hier.
Nicht, weil seine Familie ihn nicht wollte…..
Nicht, weil er unbequem geworden ist……
Nicht, weil er ungeliebt war…..
Sondern, weil er ’ne scheiss OP braucht.
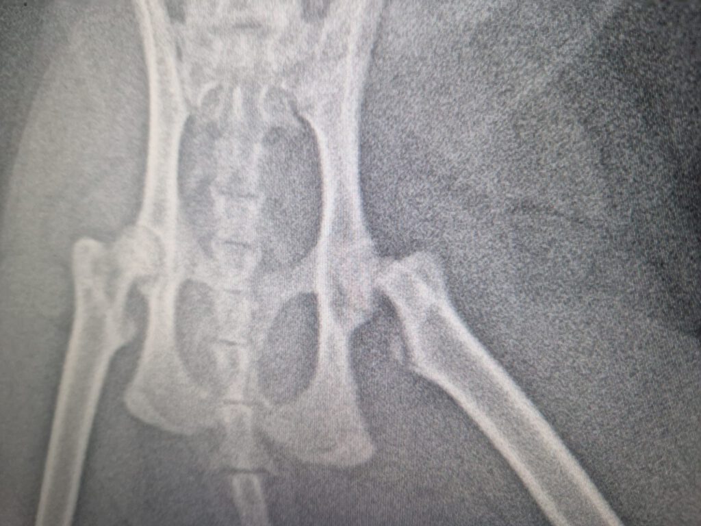
Der hübsche Kerl kam mit starken Schmerzen in der Hinterhand in eine Tierarztpraxis. Er lief lahm, belastete das Bein kaum noch. Auf dem Röntgenbild zeigte sich schließlich das Problem:
Der Femurkopf hat sich vom Oberschenkelhals gelöst.
Eine schwere orthopädische Erkrankung, die man vor allem bei jungen, männlichen und übergewichtigen Katzen sieht.
Für ihn bedeutet das: Schmerzen (die leider unversorgt waren) und ohne Operation würde das so bleiben.
Eine mögliche sinnvolle Behandlung ist eine sogenannte Femurkopf-Hals-Resektion. Dabei wird der Hüftkopf entfernt, damit sich ein neues, schmerzfreies „Ersatzgelenk“ bilden kann. Katzen kommen mit dieser Operation in der Regel sehr gut zurecht und können danach wieder schmerzfrei laufen.
Aber auch diese Operation kostet viel Geld.
Die Menschen sprachen kaum Deutsch, waren völlig verzweifelt und suchten Hilfe in einer Tierarztpraxis. Von dort kam schließlich der Kontakt zu uns.
Und glaubt uns… auch für uns sind diese Momente alles andere als leicht.
Wir sitzen diesen Menschen gegenüber, sehen ihre Tränen.
Wir hören ihre Geschichten.
Wir sehen, wie schwer ihnen diese Entscheidung fällt und weinen mit.
Denn wir wissen, wie schlimm dieser Moment für sie ist.
Niemand, der es liebt, gibt sein Tier leichtfertig ab, doch trotzdem passiert genau das.
Nicht, weil keine Liebe da ist, sondern weil Liebe allein manchmal einfach nicht ausreicht.
Denn irgendwann kommt dieser Moment, den viele Tierhalter verdrängen.
Eine Diagnose, ein schlimmes Röntgenbild und ein beschissener Kostenvoranschlag, der dir den Boden unter den Füßen wegreißt.
1500 Euro – für viele kein Problem. Doch für andere ist es eine Summe, die schlicht nicht existiert.
Und dann steht man vor einer Entscheidung, die niemand treffen möchte.
Tier behalten und nicht helfen können.
Oder loslassen damit jemand anderes helfen kann und sich vielleicht sogar die Gesamtsituation für das geliebte Tier deutlich verbessert.
Wie würdest du dich an dieser Stelle entscheiden?
Diese Familie hat sich für den zweiten Weg entschieden.
Und ganz ehrlich?
Es wäre so viel einfacher gewesen, einfach wegzuschauen. Den Kater weiter humpeln zu lassen und zu hoffen, dass es vielleicht irgendwie von allein besser wird.
Aber die Menschen haben Hilfe gesucht.
Nun sitzt dieser Kater heute hier mit der Chance, wieder schmerzfrei zu laufen.
Früher haben wir in solchen Situationen oft versucht zu helfen.
Wenn die Haltungsbedingungen grundsätzlich gut waren und nur das Geld fehlte, haben wir Tierarztkosten vorgestreckt. Wir haben Ratenzahlungen vereinbart. Wir haben Tiere nach der Behandlung sogar wieder in ihre Familien zurückgegeben.
Wir wollten helfen und haben das auch sooo oft getan..
Aber irgendwann mussten wir feststellen, dass das so nicht funktioniert.
Denn in den meisten Fällen wurde dieses Geld nie zurückgezahlt.
Und so haben wir am Ende privat Tierhaltungen finanziert.
Das klingt hart.
Aber genau deshalb müssen wir heute manchmal Entscheidungen treffen, die für Außenstehende streng wirken.
Der kleine Kater, der bereits Freitag bei uns eingezogen ist, hat inzwischen auch einen neuen Namen bekommen: Plüsch.
Jetzt braucht Plüsch vor allem eines: Hilfe.
Die Operation wird etwa 1500 Euro kosten.
Und ja… Plüsch bringt noch eine Baustelle mit: Er ist deutlich übergewichtig. Auch daran werden wir jetzt arbeiten.
Bevor er irgendwann eine neue Familie und ein endlich artgerechtes Zuhause finden kann, muss er erstmal gesund werden.
Wenn ihr Plüsch helfen möchtet:
Per Überweisung auf unser Bankkonto:
EMPFÄNGER – Tierhilfe Wolfsburg e.V.
IBAN – DE 61 2695 1311 0011 0661 07
BIC – NOLADE21GFW
BETREFF – SPENDE
Per PayPal an:
tierhilfe.wolfsburg@t-online.de
Und vielleicht wird aus dieser schweren Geschichte am Ende doch noch eine gute.
Zumindest für Plüsch…..


Previous Post